4 of 4  
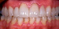
The concern for the patient was the chipped lower tooth and dark and yellow crooked front teeth. Veneers and crowns gave the appearance of straight teeth, and a whiter, more natural smile. This treatment took only 2 weeks, not the typical 2 years of braces, which wouldn't have even addressed the yellow, chipped teeth.